Ankylosed DIPJ and interdigital corn

By |2023-05-11T13:40:48+10:00May 11th, 2023|Corns|

Blog's main page This patient, who was referred to me for an opinion, had a markedly painful corn on the medial 5th toe that was becoming more symptomatic. On the pre-operative X-ray, it can be seen that she has a congenital ankylosed DIPJ of the 5th toe. This tends to make the toe less flexible and [...]

Minimally-invasive surgery (bunion and lateral hallux IPJ)

By |2023-03-30T21:29:41+11:00March 29th, 2023|Bunions, Corns, Foot pain, Hallux limitus, Keyhole surgery|

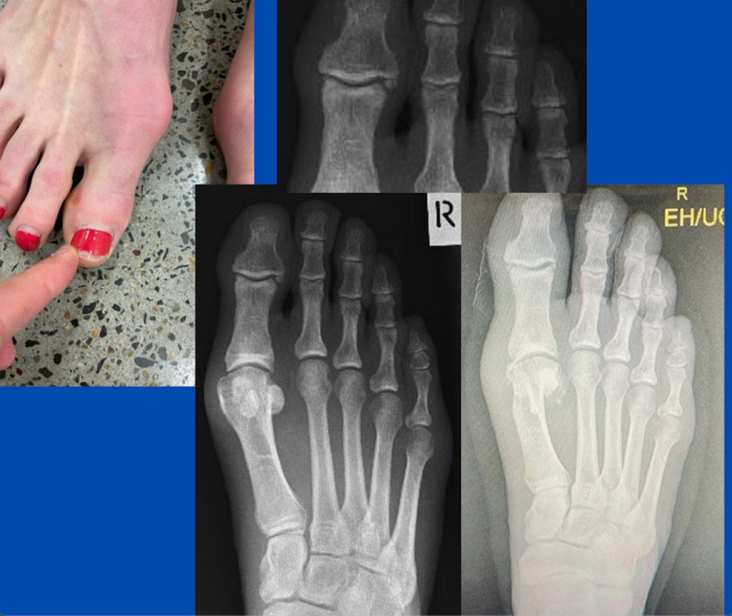
Blog's main page The images are from a case that underwent surgery a few weeks ago. The patient had a painful 1st MTPJ, but the main symptoms were felt on the lateral hallux and medial 2nd toe, involving pain and a corn formation. The conservative care had failed to provide enough relief. Note the signs of [...]

Heloma Molle (interdigital corn)

By |2022-11-25T15:14:36+11:00November 23rd, 2022|Corns, Foot pain, Interdigital corn|

Blog's main page These things can be so painful! One of my favourite procedures to carry out is the excision of the interdigital corn. As surgery goes, they are quite simple to do and produce great results with minimal recovery time. These corns are caused by the skin in the webbing being compressed by the underlying [...]

Interdigital ulcer success

By |2022-11-25T15:17:05+11:00November 4th, 2022|Corns, Foot pain|

Blog's main page The images depict a recent case involving a patient who was referred to me for a markedly painful long-standing interdigital corn. This had recently developed an ulcer on the medial 5th toe that would not resolve. The referring podiatrist arranged an X-ray, and an obvious cause was identified. Past trauma to the PIPJ [...]

Heloma molle/soft corn

By |2022-11-25T15:20:29+11:00February 9th, 2022|Corns|

Blog's main page Interdigital soft corns are a common occurrence and in most situations, regular debridement and ID pads can control the problem. Some of these corns can be resistant to conservative treatment and can even become infected and scarred. In these recalcitrant lesions, a simple and effective alternative exists. As you can see by the [...]

Interdigital corn

By |2022-11-25T15:19:12+11:00August 23rd, 2021|Corns|

Blog's main page This would present at a podiatry practice on a regular occurrence. This case was in a 27-year-old, who had been suffering from a lateral 5th toe corn (heloma durum), however, an interdigital corn (heloma molle) on the medial 5th toe was most symptomatic. Symptoms were marked and hard to control, and the patient, [...]

Go to Top