Professional Blog for Health Practitioners – Dr Damien Lafferty
Welcome to the Professional Blog of Dr Damien Lafferty, a dedicated platform for healthcare professionals seeking in-depth insights into podiatric surgery and foot and ankle care. This blog offers detailed case studies, surgical techniques, and evidence-based discussions aimed at enhancing clinical practice and patient outcomes. Whether you’re a podiatrist, general practitioner, or allied health professional, you’ll find valuable information to support your continued professional development.
Gout
Blog's main page I have carried out surgery on three patients recently who have had moderate bunions on X-ray, however, clinically they appear to be much worse. On X-ray, you [...]
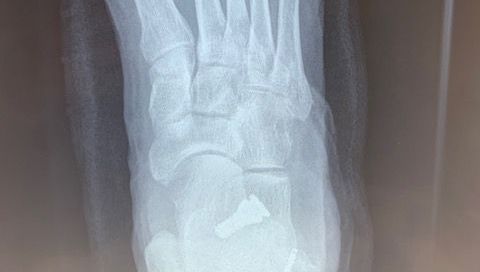
Dislocated 2nd MTPJ
Blog's main page This patient presented recently with a long-standing markedly painful left 2nd metatarsophalangeal joint (MTPJ). Conservative care has been unsuccessful and hence she was referred for a surgical [...]
Motion following hallux limitus surgery
Blog's main page Hallux limitus / rigidus or degenerative osteoarthrosis of the 1st metatarsophalangeal joint (MTPJ) is a very common condition in our practices. Once the condition deteriorates to the [...]
Interdigital corn
Blog's main page This would present at a podiatry practice on a regular occurrence. This case was in a 27-year-old, who had been suffering from a lateral 5th toe corn [...]
Subungual exostosis
Blog's main page I see a regular amount of subungual exostosis throughout the year. Typically they have been treated as ingrown toenails (IGTN) first. The GP and the podiatrist may [...]
Hyperpronation cure
Blog's main page Many of you may have heard of HyProCure (hyperpronation cure) and wondered what it is. The HyProCure website does a very good job of explaining in detail, [...]
Improvements in bunion surgery
Blog's main page Bunion surgery has advanced markedly in recent years. Traditionally the surgery has had a bad name. Procedures involved long recovery, large incisions, marked pain and poor outcome. [...]
Hypergranulation tissue
Blog's main page Just a reminder of the importance of removing hypergranulation tissue during a partial nail avulsion with penalisation (PNA). This young boy had this recalcitrant ingrown toenail for [...]
Platelet Rich Plasma (PRP)
Blog's main page Surgery is often described as an art and science. This case from last week depicts exactly how science can help surgical outcomes. This patient had chronic, marked [...]








