Professional Blog for Health Practitioners – Dr Damien Lafferty
Welcome to the Professional Blog of Dr Damien Lafferty, a dedicated platform for healthcare professionals seeking in-depth insights into podiatric surgery and foot and ankle care. This blog offers detailed case studies, surgical techniques, and evidence-based discussions aimed at enhancing clinical practice and patient outcomes. Whether you’re a podiatrist, general practitioner, or allied health professional, you’ll find valuable information to support your continued professional development.
Post-operative wounds
Blog's main page The images show how a foot can look at six weeks post-op. This patient had chronic painful 1st and 2nd MTPJs. On clinical and radiographic imaging, it [...]
The problems with keyhole bunion surgery
Blog's main page There have been marked improvements in bunion surgery over the years to the point where, typically, the procedure is day surgery, the pain is controlled and long-term [...]
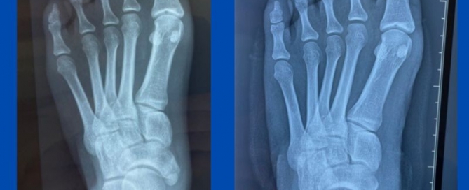
Biomechanics of a pathology (bunions and pes planus)
Blog's main page This is a great example of how poor biomechanics impacts foot pathology. This is a case of juvenile bunions with flat feet that has recently been presented [...]
Plantar fasciotomy post-op
Blog's main page Following on from a post (Chronic Heel Pain, October 2021) I shared a few weeks ago about the minimally invasive plantar fasciotomy for chronic recalcitrant plantar fasciosis/fasciitis. [...]
Heloma molle/soft corn
Blog's main page Interdigital soft corns are a common occurrence and in most situations, regular debridement and ID pads can control the problem. Some of these corns can be resistant [...]
Post-operative pes planus/flat feet/excess pronation
Blog's main page The images are of a recent patient who is 4 weeks post-op, following Hyprocure insertion. This patient had the typical signs and symptoms seen with pes planus [...]
Pes planus
Blog's main page Flat feet and the plethora of symptoms associated must be one of the most commonly seen conditions in the office of a podiatrist. Typically with the help [...]
Chronic heel pain
Blog's main page This 24-year-old male presented at my rooms with an 8-year history of bilateral "plantar fasciitis". He had been treated with various modalities and health practitioners over the [...]
Accessory navicular with pes planus
Blog's main page Approximately 2.5% of the population are born with an accessory navicular. There are three types of this condition with type 2 being the most commonly symptomatic. The [...]








