Professional Blog for Health Practitioners – Dr Damien Lafferty
Welcome to the Professional Blog of Dr Damien Lafferty, a dedicated platform for healthcare professionals seeking in-depth insights into podiatric surgery and foot and ankle care. This blog offers detailed case studies, surgical techniques, and evidence-based discussions aimed at enhancing clinical practice and patient outcomes. Whether you’re a podiatrist, general practitioner, or allied health professional, you’ll find valuable information to support your continued professional development.
Tarsal coalition
Blog's main page Tarsal coalitions are rare in the general population. I suspect this may be the reason why many of these are missed or wrongly diagnosed. The patient seen [...]
Interdigital ulcer success
Blog's main page The images depict a recent case involving a patient who was referred to me for a markedly painful long-standing interdigital corn. This had recently developed an ulcer [...]
Minimally invasive forefoot reconstruction
Blog's main page There have been many advances in foot surgery over the years, with minimally invasive surgery (MIS) or keyhole surgery being one such modality. The below before and [...]
Gout deposits (not bunions)
Blog's main page This patient has presented with concerns about painful bunions. He also suffers from gout. On questioning, he has been less than conscientious with his taking of gout [...]
Adult-acquired flat foot (PTTD)
Blog's main page This is a patient who presented with a severely debilitating right flat foot. This has been progressing for approximately two years; however, three months ago, the pain [...]
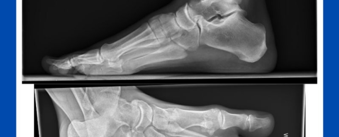
Calcaneonavicular coalition
Blog's main page This is an image from one of my cases last week. The patient is another example of the need to continue your investigations into those long-standing and [...]
Freiberg’s Disease/Infraction
Blog's main page A patient has presented this week with pain in the forefoot. The pain was marked and typical for generalised forefoot pain. Her recent treatment has focused on [...]
Minimally invasive fracture fixation
Blog's main page Surgical intervention is continuously evolving. Minimally invasive surgery, or keyhole as it is commonly known, has progressed markedly over recent years as this case depicts. This patient [...]
Is it posterior tibial tendon dysfunction?
Blog's main page An astute podiatrist referred this patient to me recently with a history of treatment for supposed posterior tibial tendon dysfunction (PTTD). The patient has been symptomatic on [...]








