Professional Blog for Health Practitioners – Dr Damien Lafferty
Welcome to the Professional Blog of Dr Damien Lafferty, a dedicated platform for healthcare professionals seeking in-depth insights into podiatric surgery and foot and ankle care. This blog offers detailed case studies, surgical techniques, and evidence-based discussions aimed at enhancing clinical practice and patient outcomes. Whether you’re a podiatrist, general practitioner, or allied health professional, you’ll find valuable information to support your continued professional development.
Deep vein thrombosis / venous thromboembolism
Blog's main page Complications can occur with all surgery, some more serious than others. Deep vein thrombosis (DVT) / venous thromboembolism (VTE) is something that all podiatric surgeons must be [...]
Juvenile hallux valgus (bunion)
Blog's main page This case shows just how strong genetics can play in the development of bunions. This is the foot of a 16-year-old. The parents and podiatrist have been [...]
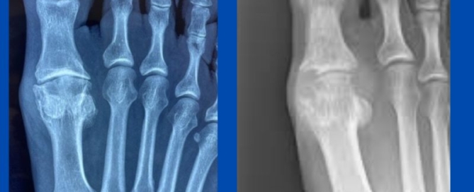
Gout or degenerative osteoarthrosis/hallux limitus?
Blog's main page This patient presented approximately two weeks ago with a history of long-term gout. He is only in his thirties, and his history of supposed gout flare-ups does [...]
1st MTPJ cartilage damage
Blog's main page I operated on this patient last week. She had suffered from marked left 1st MTPJ pain. She had been treated for her bunion via rest, orthotics, mobilisation, [...]
Posterior heel pain
Blog's main page This patient presented with a history of markedly painful posterior heel "bumps". She has noted them for approximately two years. The patient is now having major problems [...]
Ultrasound in the operating theatre
Blog's main page In the last few months, I have had two patients with symptomatic foreign objects located deep to skin. These objects cannot be seen or palpated through the [...]
Anterior Ankle Impingement Syndrome
Blog's main page This case was referred to me as the patient has had a long history of anterior ankle pain with chronic 'tight' right ankle. The patient has been [...]
Hallux Limitus / Rigidus
Blog's main page This patient had marked 1st MTPJ pain that had been recalcitrant to conservative care, including various orthotics. Her range of motion was mildly reduced; however, she had [...]
Heloma Molle (interdigital corn)
Blog's main page These things can be so painful! One of my favourite procedures to carry out is the excision of the interdigital corn. As surgery goes, they are quite [...]








