Professional Blog for Health Practitioners – Dr Damien Lafferty
Welcome to the Professional Blog of Dr Damien Lafferty, a dedicated platform for healthcare professionals seeking in-depth insights into podiatric surgery and foot and ankle care. This blog offers detailed case studies, surgical techniques, and evidence-based discussions aimed at enhancing clinical practice and patient outcomes. Whether you’re a podiatrist, general practitioner, or allied health professional, you’ll find valuable information to support your continued professional development.
Advances in neuroma surgery
Blog's main page Neuromas are one of the most common conditions seen by a podiatric surgeon. The image is of a recent case, showing how small the incision can be [...]
Paediatric rigid flat foot
Blog's main page This 16-year-old had been struggling since he commenced walking – marked and multiple symptoms on the foot, including lateral midfoot and rearfoot pain, and bunion formation. However, [...]
Minimally invasive metatarsal osteotomy (keyhole surgery)
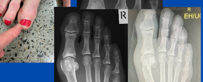
Blog's main page This is a patient who is approximately eight months postoperative from an Austin/chevron bunionectomy and correction of plantar plate pathology with medial drift of the 2nd, 3rd [...]
Nerve entrapment from early bunion formation
Blog's main page This lady presented with marked shooting pain in the right dorsal medial 1st MTPJ. She has endured this pain for approximately 12 months, with little relief from [...]
Ankylosed DIPJ and interdigital corn
Blog's main page This patient, who was referred to me for an opinion, had a markedly painful corn on the medial 5th toe that was becoming more symptomatic. On the [...]
Bipartite Os Peroneum
Blog's main page Approximately 10% of the population have Os Peroneum, an accessory bone in the peroneus longus tendon. It is typically located adjacent to the cuboid as the tendon [...]
Subungual exostoses
Blog's main page This is one of a few subungual exostoses I see regularly throughout the year. Often when I see these cases, they have been treated as an ingrown [...]
Minimally-invasive surgery (bunion and lateral hallux IPJ)
Blog's main page The images are from a case that underwent surgery a few weeks ago. The patient had a painful 1st MTPJ, but the main symptoms were felt on [...]
Fractured bone spur
Blog's main page This patient presented in early March with a history of a sudden severely inflamed and painful right 1st MTPJ after a run completed the previous month. The [...]








